“Entenda por que o dentista pede exames como tomografia e radiografia antes de iniciar qualquer tratamento. Descubra o que ele realmente analisa e como isso garante segurança e previsibilidade ao seu sorriso.”



Mais do que um simples pedido
Pouca gente percebe, mas quando o dentista pede um exame, ele não está apenas seguindo protocolo. É o momento em que a odontologia deixa de ser apenas estética — e volta a ser medicina.
Um pedido de tomografia odontológica ou radiografia panorâmica não é um capricho: é uma janela aberta para entender o que os olhos não veem. É o instante em que o dentista tenta enxergar o que o corpo está gritando em silêncio.
O que o dentista analisa nos exames odontológicos
Quando o paciente entrega um exame ao dentista, ele está oferecendo o mapa do território onde o tratamento vai acontecer.
- Altura e espessura óssea — fundamentais antes de pensar em implantes dentários;
- Densidade óssea e qualidade do osso alveolar;
- Relação entre dentes e estruturas anatômicas vitais (seio maxilar, nervo alveolar, cavidades nasais);
- Lesões, cistos, reabsorções ou infecções ocultas;
- O alinhamento e a oclusão, que interferem na estabilidade de próteses e implantes;
- Estado periodontal, revelando inflamações crônicas ou perdas de sustentação.
Em outras palavras: o exame é o que transforma suposição em precisão.
Por que o dentista pede tomografia antes de implantes dentários
A tomografia computadorizada odontológica permite visualizar a anatomia tridimensional da face. Enquanto uma radiografia mostra uma foto, a tomografia mostra o filme completo, em 3D.
Com ela, o dentista pode:
- Visualizar a profundidade exata do osso;
- Planejar a posição ideal do implante com segurança;
- Simular a cirurgia virtualmente;
- Avaliar se há necessidade de enxerto ou se técnicas avançadas (como implantes zigomáticos) são viáveis.
Quando exames simples revelam problemas complexos
Um exame aparentemente de rotina pode revelar infecções silenciosas, perdas ósseas ou raízes próximas a estruturas sensíveis. O dentista não pede exames para complicar, e sim para evitar complicações futuras.
O que o dentista vê — e o paciente não percebe
A leitura dos exames revela hábitos e padrões: o bruxismo noturno no desgaste ósseo, a má higiene nas gengivas inflamadas e até o estresse nas fraturas finas. É uma leitura técnica e humana, porque cada imagem conta a história de alguém tentando sorrir e viver melhor.
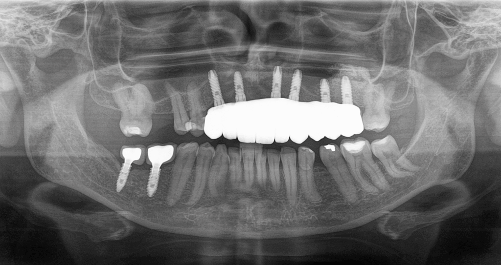
Exames odontológicos mais comuns e suas funções
Radiografia periapical
Mostra detalhes de um ou poucos dentes, revelando cáries, infecções e raízes comprometidas.
Radiografia panorâmica
Oferece uma visão geral das arcadas e articulações, ideal para avaliar perdas ósseas e dentes inclusos.
Tomografia computadorizada (3D)
Indispensável para planejamento de implantes dentários e cirurgias avançadas. Mostra altura, espessura e densidade óssea.
Radiografia cefalométrica
Usada em ortodontia e cirurgia facial para estudar proporções e simetria.
Exames laboratoriais complementares
Importantes em casos de inflamação persistente ou doenças gengivais com suspeita sistêmica.
Quando recusar exames é um erro
Recusar um exame é como pilotar um avião com o painel apagado. Em casos de implantes, isso pode significar lesionar nervos ou o seio maxilar. O exame não é custo — é investimento em segurança e previsibilidade. Quando o paciente deseja que o Dentista acelere seu diagnóstico sem exames, o Dentista que aceita isso está jogando seu diploma no mato, em prol de satisfazer uma curiosidade ou ansiedade do paciente. No fundo, esse paciente deseja apenas saber preço, pois ele considera que pagar o exame sem saber quanto custará o tratamento é perda de tempo e desgaste psicológico.
Só que aqui vai uma verdade crua: esse tipo de paciente não confia, não respeita e não te o mínimo interesse na cautela e segurança profissional. Ele só está olhando o próprio bolso, dentre do seu egoísmo oligofrênico.
Entender o exame é entender o próprio corpo
Quando o paciente entende o porquê de cada exame, ele deixa de ser espectador e se torna parte ativa do cuidado. Essa consciência muda a forma como ele enxerga a própria saúde bucal.
Conclusão — o exame é o olhar invisível do dentista
Toda imagem traz um segredo à tona. O exame é o olhar invisível do dentista — o que vê o que ainda não dói, o que antecipa o que poderia ser perda. É o momento em que o cuidado se torna prevenção.
Quer entender o que seus exames revelam sobre seu sorriso? Agende sua avaliação com o Dr. Daniel Coutinho (CRO RN 2966) e descubra o que seu corpo tenta dizer.

Dr Daniel C Coutinho CRO/RN 2966
Implantodontista – FOP/UNICAMP
Protesista ABO/RN
Cirurgião-Dentista desde 2005
Especializado em fazer as pessoas sorrirem novamente, mesmo depois de terem perdido todos os dentes, sem enxertos ósseos.
📌 Perguntas frequentes
Por que o dentista pede tomografia?
Porque a tomografia mostra a anatomia tridimensional, essencial para planejamento preciso de implantes e cirurgias sem riscos.
Todo dentista pede exames antes de tratar?
Sim, especialmente em casos de reabilitação, implantes, extrações e tratamentos complexos.
O que a radiografia odontológica mostra?
Mostra ossos, raízes, cáries, infecções, perdas ósseas e outras alterações invisíveis ao exame clínico.
Quanto custa uma tomografia odontológica?
Os valores variam entre R$150 e R$350, dependendo da região e da complexidade do exame.
Preciso fazer exame mesmo sem sentir dor?
Sim. A maioria dos problemas odontológicos é silenciosa no início, e o exame detecta alterações antes que causem dor.
